ホワイトニング|佐賀市東与賀町の歯科・歯医者|しわ歯科医院

〒840-2221佐賀市東与賀町大字下古賀1119番8

0952-97-7951

WEB予約
下層メインビジュアル画像

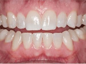
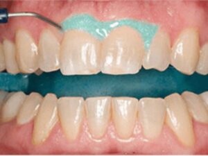
ホワイトニング

ホワイトニング|佐賀市東与賀町の歯科・歯医者|しわ歯科医院

TOP